A Dentist’s Top Tips For Maintaining Healthy Gums
Do you have healthy gums? Have you ever wondered if your daily habits are enough to protect them? Learn more from the team at Smiles for Miles Dentistry.
Satisfied Patient Reviews:
Most people think they are doing enough. However, proper gum care often requires more attention.
The good news is that it doesn’t take much time or effort to keep them strong.
For example, brushing your teeth and eating the right foods can help. Scheduling regular dental check-ups for personalized gum care advice can pay dividends too.
Don’t put off addressing your gum health. Failing to act now could lead to red, swollen gums that bleed when you brush and floss. You could end up with gingivitis and gum disease.
Dr. Salm and Smiles for Miles Dentistry have put together these top gum health tips to keep your teeth and gums healthy. Read on to learn simple ways to protect your smile and improve your overall health.
Key Takeaways
- Gum health is essential to oral health and overall health.
- Gum massage improves blood flow and supports gum health.
- A soft-bristled brush prevents gum irritation.
- Flossing removes plaque and reduces gum bleeding and soreness.
- Vitamin C-rich foods and crunchy fruits promote gum health.
- Dental check-ups prevent gum disease and give you personalized care.
Importance of Gum Health
Healthy gums work to:
- Protect Teeth: Gums form a barrier around the teeth. They block bacteria and debris from the roots and enamel.
- Support Teeth: Healthy gums hold teeth in place. They provide a stable base and prevent loose teeth.
- Prevent Early Gum Disease: Early gum disease can cause inflamed gums and bad breath. Gum disease does not set in overnight. Good daily care helps prevent it, and regular dental checkups are key to identifying early gum disease symptoms.
Severe Gum Disease and Its Effects
Left untreated, gum disease can progress. At this point, the condition causes pain and discomfort. It can also create more serious problems, such as abscesses and gum recession.
Early care stops this progression. We’ll get to what you can do to protect your gums later in this guide.
Gum Disease and Your Overall Health
Unhealthy gums create more than just pain and tooth problems. They can harm your overall health.
Your mouth contains many types of bacteria. Your gums stay protected when they are in balance. Disease starts to form when harmful bacteria grow too much.

How to Keep Gums Healthy and Strong
Halting the progression of gum disease can be much simpler than you might believe. There are two effective practices you should always embrace. One is brushing your teeth and the other is flossing.
A battery-powered electric toothbrush is often more effective at reducing gingivitis and plaque than manual brushing. Meanwhile, flossing at least once a day removes plaque and food that a toothbrush can’t reach.
Doing both regularly helps get rid of bacteria and plaque. They will also help you avoid harmful gum inflammation.
Think of good oral health as incorporating daily oral hygiene habits. This mindset is the best way to ensure healthy gums. It also helps with better overall well-being.
Certain health conditions are linked to gum disease, too. For example, regular dental cleanings can help prevent diabetes and heart disease.
Start with These Daily Habits
Good oral health goes beyond brushing and flossing. Here are key daily habits to incorporate in addition:
- Use fluoride: Use fluoride toothpaste to strengthen tooth enamel and prevent cavities.
- Brush your tongue: Gently brush or use a tongue scraper to remove bacteria from your tongue.
- Practice plaque prevention: Daily cleaning removes plaque. Plaque can harden into tartar and lead to gum disease if left untreated.
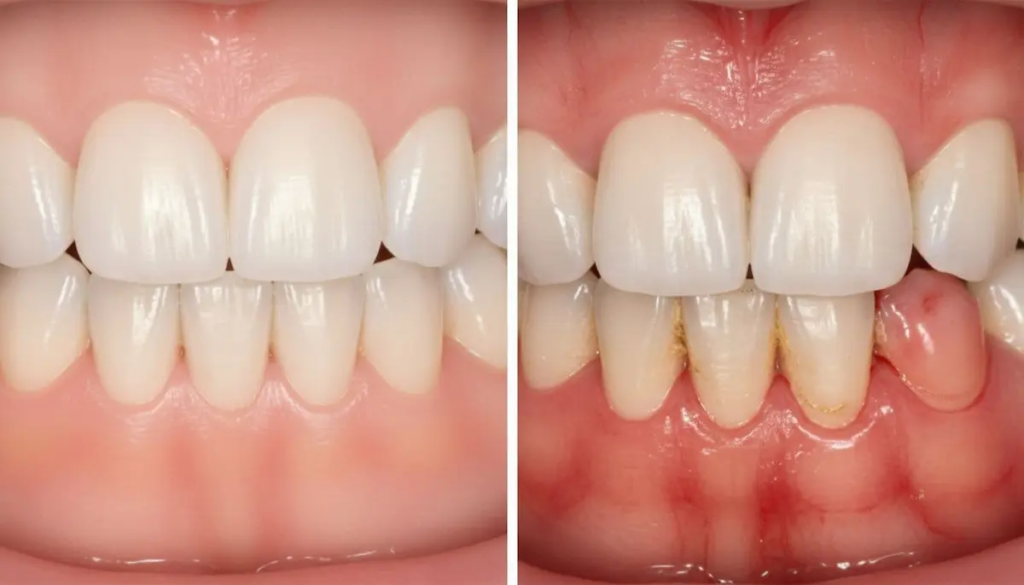
Good Oral Hygiene vs. Poor Oral Hygiene
Good oral hygiene involves habits like regular brushing and flossing. Benefits include firm, non-bleeding gums and strong, healthy teeth. You’ll also have a reduced risk of developing oral cancer or cardiovascular disease.
Poor oral hygiene is the polar opposite of all that. It is basically neglecting your teeth and gums. That course of action can lead to serious teeth and gum problems.
Why Bleeding Gums Shouldn’t Be Ignored
Bleeding gums are often an early warning sign of gum disease. Gum disease can progress and affect more than just your mouth if left untreated.
Research by Harvard Medical School shows that advanced gum disease is linked to serious health problems.
These problems include:
- Stroke
- Dementia
- Diabetes
- Rheumatoid arthritis
- Preterm birth
- Respiratory infections
Healthy gums support a healthy body. Regular attention by a dental professional also protects your overall health. Always tell Dr. Salm and the dental hygienist if you notice bleeding in your mouth.
Tender Gums: An Early Warning Sign
Tender gums can be a symptom of gingivitis, the earliest stage of gum disease. They may also point to infection or irritation from brushing. Wisdom teeth coming in can cause soreness, too.
Your dentist and hygienist may not notice tenderness during a routine check-up. Early attention helps prevent bigger problems. It’s important to discuss your symptoms with Dr. Salm.
Other Gingivitis Symptoms
Other symptoms of gingivitis include swollen or red gum tissue.
Bad breath (halitosis) can also be an early warning sign. However, bad breath can also be a symptom of something less serious, too. For instance, it can be something as simple as tonsil stones. They cause bad breath, and Dr. Salm can remove them easily.
Comparing Healthy Gums to Gingivitis
Healthy Gums with Good Oral Hygiene vs. Gum Disease and Gingivitis

Early Treatment Matters for More Than Just Oral Health
Early preventive dental care is one of the best ways to calm inflamed tissue and stop the development of gingivitis.
Regular professional cleanings also support whole-body health as they are the only way to completely remove tartar from teeth and gums.
Catching oral disease early can:
- Avoid expensive treatments such as dental implants
- Protect your immune system
- Prevent cardiovascular disease
- Boost oral comfort and improve your breath
- Make flossing and brushing easier
- Reduce chronic inflammation
Periodontal Gum Disease: The Leading Cause of Tooth Loss
Not treating gingivitis can lead to a more serious problem called periodontal disease. It is the leading cause of adult tooth loss.
Over time, it also makes teeth harder to clean and gums harder to maintain. The condition can progress without treatment. Then, it can potentially cause lasting damage to your mouth and body.
Symptoms of Periodontal Disease
- Loose teeth
- Gum recession
- Deep gum pockets
- Tooth pain
- Bone loss
- Increased sensitivity to hot and cold foods
- Persistent bad breath
Other Possible Symptoms
Periodontal disease can show up in other ways. Watch for these warning signs:
- Abscesses
- Drainage from the gums
- Fever
- Chills
Some people may not notice symptoms of periodontal disease. For example, hidden problems like bone loss caused by advanced periodontitis can only be diagnosed by a dentist.
Regular checkups by a dental professional and strong oral hygiene habits can help prevent periodontal disease. Dr. Salm will also explain treatment options if you already have the condition.
What to Avoid or Limit for Healthy Gums
- Sugary foods and treats: Sugary treats like candy and sticky sweets harm your teeth and gums. Refined carbs such as white rice and crackers do the same.
- Tobacco products: Smoking damages gum tissue. Chewing tobacco slows healing and raises the risk of gum disease.
- Acidic fruits: The acid in citrus fruits like lemons and oranges wears down enamel. Eat them with meals and rinse with water afterward.
- Chewing gum: Chewing gum can boost saliva. Choose sugar-free gum since sugary gum causes tooth decay.
- The wrong mouthwash: The type of mouthwash you use can be doing you more harm than good. Dr. Salm will work with you to find the best mouthwash depending on your unique needs.
Health Conditions and Keeping Your Gums Protected
Some health conditions make you more likely to develop gum disease. Your dentist can adjust your care plan to keep gums protected.
Let Dr. Salm know if you have any of the following risk factors:
- Hormonal changes: Pregnancy and menopause can increase gum sensitivity.
- Medications: Some prescriptions reduce saliva flow and dry out the mouth.
- Diabetes: High blood sugar raises the risk of infection.
- Heart and respiratory disease: These conditions are linked to gum inflammation.
- Autoimmune disorders: Rheumatoid arthritis and lupus can weaken gum health.
- Osteoporosis: Bone loss can affect the jaw and supporting teeth.

Oral Care Practices That Improve Gum Health
Dr. Salm and Smiles for Miles follow guidance from the American Dental Association. The ADA shares proven tips to help you keep your gums healthy at home. Good daily habits, like the following, lower your risk for oral disease.
Use a Proper Brushing Technique
Correct daily brushing prevents tooth decay and supports healthy gums. Choosing the right toothpaste matters too. Look for one with fluoride and the ADA Seal of Acceptance.
The ADA recommends brushing for at least two minutes twice a day.
Here are some key tips for an effective brushing technique:
| Proper Brushing Technique | Description |
|---|---|
| Gum massage technique | Gently massage your gums in circular motions while brushing to stimulate blood flow and promote gum health. |
| Gum health benefits | Proper brushing helps remove plaque and bacteria, preventing gum disease and maintaining healthy gums. |
| Gum disease prevention | By brushing correctly, you can prevent gum diseases such as gingivitis and periodontitis, preserving your overall oral health. |
| Gum care routine | Establish a consistent brushing routine, aiming for at least twice a day, to ensure the best gum care and overall oral hygiene. |
| Soft-bristled brush | Opt for a soft-bristled toothbrush to prevent gum irritation and damage while effectively cleaning your teeth. |
Floss Regularly
The foods you eat can lead to decay when they combine with bacteria in your mouth. Flossing beneath the gumline is just as important as brushing.
The ADA recommends flossing once a day to remove trapped food particles from between your teeth. Plaque builds up when these particles are not removed.
Also, floss after you brush to get the biggest benefit.
Steps for proper flossing:
- Cut about 18 inches of floss.
- Wrap most of it around your middle fingers, leaving a few inches to work with.
- Gently slide the floss between your teeth down to the gum line.
- Curve it around one tooth in a “C” shape.
- Move it up and down to clean the tooth.
- Switch to a clean section of floss as you move along.
- Repeat for each tooth, including the back ones.
Flossing this way helps reduce gum irritation.
Practice a Gum-Friendly Diet
Eating a balanced and nutritious diet is essential for preserving healthy gums. Consider the following tips for keeping your gums in top condition.
Choose Gum-Friendly Foods
Include fruits with Vitamin C in your diet, such as oranges and strawberries. They regulate inflammation in your body and gums.
Foods high in Omega-3 acids, like salmon, other fatty fish, and walnuts, do the same. They are anti-inflammatory and support gum health. Leafy greens such as kale and spinach are rich in Vitamin C and folic acid.
Eat Crunchy Fruits and Vegetables
Fruits and vegetables with that familiar crunch stimulate saliva and help cleanse your mouth. Their fibrous texture also scrubs away plaque. The following fruits and vegetables are especially beneficial in this way:
- Apples
- Berries
- Carrots
- Celery
- Bell peppers
Add Dairy Products
Calcium-rich foods like milk and cheese can strengthen your teeth and gums. Yogurt contains probiotics that keep your gums healthy by reducing harmful inflammation.
Drink Green Tea
Green tea contains anti-bacterial and anti-inflammatory properties. You can thank antioxidants like catechins in the beverage for keeping angry gums at bay.
Stay Hydrated
Drink water throughout the day. It helps wash away food particles and bacteria that cause gum disease.
You can learn more about how your habits and nutrition affect your oral health in our blog section.
Get Regular Dental Check-ups
Make sure to schedule regular dental visits to maintain peak oral health and prevent future issues.
Regular check-ups play an essential role in gum disease prevention and overall dental hygiene. These visits allow your dentist to assess your oral health habits and provide necessary guidance for effective gum care.
Here are the benefits seeing Dr. Salm brings:
| Benefits of Regular Dental Check-ups |
|---|
| Early detection of gum disease |
| Professional teeth cleaning |
| Oral cancer screening |
| Customized advice for gum care |
| Monitoring overall oral health |
Protect Your Gums with a Trusted Dentist
We take a personalized approach to help each patient protect their gums and their smile at Smiles for Miles Dentistry.
During an appointment, Dr. Salm can check for early gum disease symptoms. He will also create a treatment plan that fits your needs and give you guidance for daily gum care.
Schedule your visit today and take the next step toward keeping your gums healthy and strong!

Frequently Asked Questions About Strong and Healthy Gums
Healthy gums start with consistency. Brush your teeth twice daily using a soft-bristle toothbrush and fluoride toothpaste. Floss once a day to remove plaque between teeth.
Visit your dentist for regular cleanings. Pairing good brushing habits with balanced nutrition keeps your gums strong and protected.
Pregnancy hormones can make gums more sensitive and prone to inflammation, leading to pregnancy gingivitis. Expectant mothers should brush and floss carefully, and they should eat a nutrient-rich diet.
Pregnant people should also schedule professional cleanings to prevent gum bleeding or tenderness during this period.
Vitamins C and D play key roles in gum repair. Vitamin C strengthens connective tissue and fights inflammation, while Vitamin D helps your body absorb calcium for healthier teeth and bones.
Adding citrus fruits, leafy greens, and fortified dairy products to your diet supports gum healing.
Yes, early gum disease is reversible with proper care. Daily brushing, flossing, and professional cleanings can restore gum health before significant damage occurs.
Some experts also recommend rinsing with salt water to contain gum inflammation.
Even if gum disease has progressed, treatments such as scaling and root planing can help your gums heal and reattach to your teeth.
The first warning signs often include swollen, red, or tender gums.
You may also notice bleeding when brushing or flossing, bad breath, and gum recession. If left untreated, these symptoms can lead to loose teeth and bone loss. See your dentist promptly for an evaluation.
Green tea is one of the best drinks for gum health. It contains antioxidants called catechins that reduce inflammation and fight bacteria linked to gum disease.
Water is equally important. It rinses away food particles and keeps your mouth hydrated to prevent dry, irritated gums.
Foods rich in Vitamin C, calcium, and omega-3 fatty acids are great for your gums. Snack on crunchy fruits and vegetables like apples, carrots, and celery to naturally clean teeth and stimulate saliva.
Salmon and leafy greens also strengthen gum tissue and support overall oral health. Likewise, dairy products like milk and cheese contain antibacterial enzymes that reduce bacteria in the mouth.
The amount of stress in your life can affect the health of your gums.
Managing stress can help prevent gum disease because stress levels can weaken your immune system. That in turn can hinder your body’s ability to fight gum infections. For more on how to keep your gums healthy and strong contact Smiles for Miles Dentistry today.
Satisfied Patient Reviews:

Partner with Smiles for Miles Dentistry for Healthy Teeth and Gums
Bleeding gums, tenderness, or bad breath are early signs that your mouth may need extra care. Ignoring these symptoms can lead to gum disease, tooth loss, and even health problems beyond your smile.
The good news is that gum health can be restored with the right habits and professional support.
At Smiles for Miles Dentistry in Brookfield, Dr. Salm and our caring team are dedicated to keeping your gums strong, your teeth healthy, and your smile bright.
Through personalized check-ups, preventive cleanings, and expert guidance, we make it easy to protect your oral health and your confidence.
Don’t wait for discomfort or bleeding to signal a problem. Schedule your appointment today with Smiles for Miles Dentistry and take the first step toward stronger gums and a healthier smile for life.






