Do you have a cavity or a damaged tooth? You don’t have to sacrifice appearance for strength when it comes to fixing your teeth.
That’s why Dr. Richard Salm at Smiles for Miles Dentistry prefers tooth-colored composite fillings. They restore the health of your teeth.
You can chew comfortably again without worrying about sensitivity. They also keep your smile looking natural and confident.
Don’t postpone fixing your beautiful smile. Small issues can turn into daily discomfort before you even notice it happening.
You could endure ongoing pain. Chewing might start to feel harder every day. The tooth could even weaken as decay spreads deeper.
Contact Smiles for Miles Dentistry today to ask about composite dental fillings.
Satisfied Patient Reviews:
Why Choose White Composite Fillings?
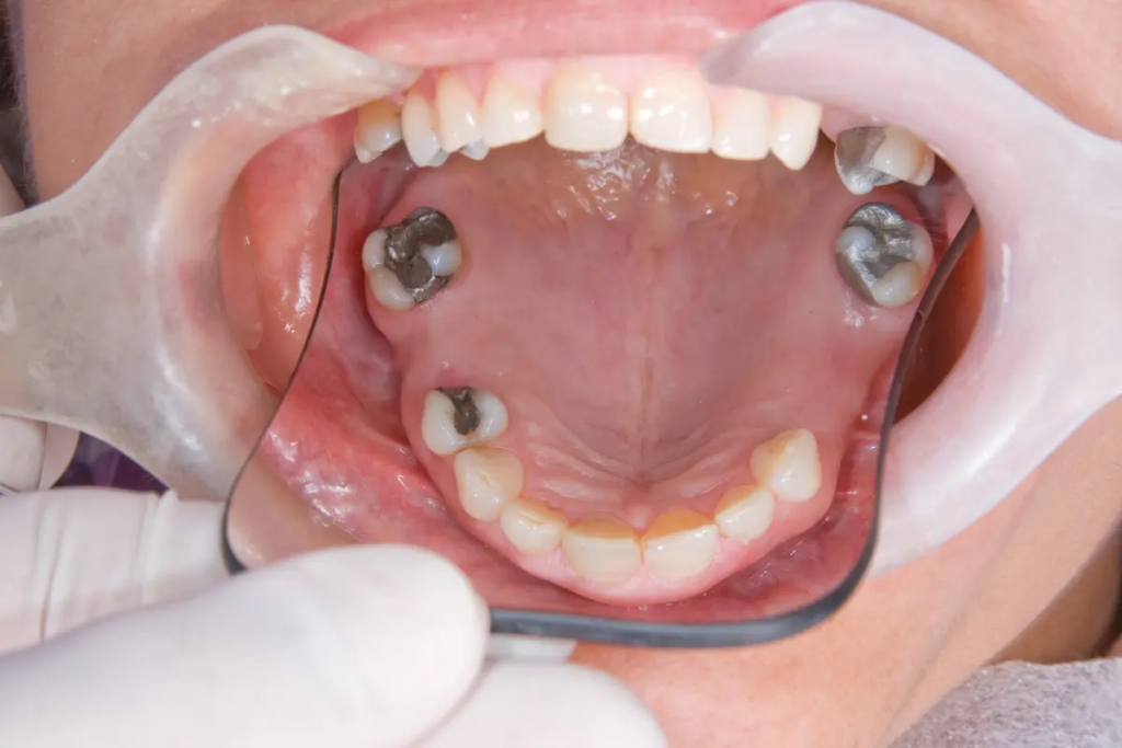
Dentists have relied on silver amalgam fillings for their durability. But they can be highly visible and may weaken the surrounding tooth structure over time.
Composite fillings are one of the most popular choices in dentistry. People love how easily they blend in with natural enamel, which keeps their smile bright and consistent.
Many patients discover even more benefits once they learn about white composite fillings. Here are a few you may appreciate:
- Aesthetic Appeal – White dental fillings closely match your tooth color. As such, they offer a more natural appearance than metal restorations.
- Long-Lasting – Tooth-colored materials in composites resist wear. They hold up even under constant stress and moderate pressure.
- Minimally Invasive – Requires less removal of healthy tooth structure compared to other options.
- Mercury-free – A safe, biocompatible alternative to silver amalgam fillings or older amalgam fillings.
- Convenient treatment – You can get everything done in one visit. Most patients appreciate how simple and relaxed the appointment feels.
That’s why Dr. Salm recommends and many people choose composite fillings. They look natural, feel comfortable, and protect your tooth without anyone noticing the repair.
What are White Composite Fillings?
We create composite resin fillings from tiny glass particles and trusted bonding materials. This blend gives your tooth a strong repair that blends right in. Dentists often call them white composite fillings.
These fillings are nearly invisible since the material can be customized to the shade of your natural teeth. The fillings create a natural look that silver or gold restorations simply can’t match.
Likewise, composite fillings solve several problems at once. The mix of plastic resin and powdered glass filler makes them strong enough for everyday use while still looking natural.
As a result, they can be used to repair teeth in various types of dental restorations, including:
- Dental fillings
- Veneers
- Inlays
- Same Day Crowns
How White Composite Fillings Protect Your Teeth
With composite fillings, white resin material is used to repair chipped and cracked teeth. Dentists place this composite material in cavity fillings when decay-causing bacteria damages a tooth.
Protection and Prevention
The composite resin material seals the damaged area so decay stops moving deeper. You get a simple repair that protects the tooth from more trouble.
These resin fillings restore decayed teeth and make worn teeth stronger. They bond directly to the tooth structure. And this bond helps preserve enamel and protect your existing teeth.
They also lower the risk of early gum irritation. That protection supports healthier gums and helps you avoid future tooth loss. Indeed, white fillings protect your teeth and blend in with your smile.

Other Dental Filling Materials
Your dentist may offer several choices when it comes to filling materials. Here’s more about them.
Gold Fillings
Gold fillings are more expensive than other filling procedures. But you do get what you pay for. They’re durable and can last 20 years or more. They typically require a two-visit process in a dental laboratory.
Ceramic Fillings
Ceramic fillings are made from porcelain and can last up to 15 years. They are not used as often as other fillings since they cost more than most other options. They also require two visits to complete.
Glass Ionomer Fillings
Glass ionomer works well for small cavities that face light chewing pressure. Dentists often use it near the gumline or for children’s baby teeth.
The material releases fluoride, which helps protect the tooth from future decay. It blends with natural enamel, though not as closely as composite.
Dental Amalgam Fillings
Dentists once used amalgam dental fillings more than any other type of filling. Today, they’re still widely used in many parts of the dental field.
These dental fillings consist of mercury mixed with silver and other metals like tin and copper.
Dentists have long valued fillings made from this silver mixture for their durability. On the downside, they can be highly visible. They can also weaken the surrounding tooth structure over time.
Health Concerns About Amalgam Fillings
Patients often raise concerns about mercury and possible mercury vapor exposure during placement or removal of amalgam fillings.
However, numerous public health agencies report no evidence that mercury used in this way harms patients. The American Dental Association considers amalgam safe and effective for most people.
The U.S. Food and Drug Administration takes the same stance. The FDA does caution against its use in certain higher-risk groups.
People at greater risk include:
- Pregnant women and their developing fetuses
- People planning pregnancy within the year
- Breastfeeding mothers and their newborns
- Children, especially under age six
- Individuals with neurological conditions
- Those with sensitivities to mercury
Furthermore, the FDA does not recommend removing existing amalgam fillings in high-risk patients. If the restorations are in good condition, they should be left alone.
Removal can release more mercury vapor than leaving them in place.
Allergic reactions to amalgam are very rare. Less than 1% of patients experience this allergy, according to the American Dental Association.
Fewer than 100 cases have been reported. Symptoms may include a skin rash or itching. These reactions are usually linked to patients with known metal allergies.
In such cases, dentists can use another restorative material instead.
Considering Replacing Old Silver Fillings?
Many people feel self-conscious about metal fillings. Silver fillings can show when you smile or laugh. Dr. Salm can replace them with modern white composite fillings.
This change improves the look of your smile. It also lowers risks linked to old amalgam restorations, such as cracking or leakage.

Direct vs. Indirect Fillings
Direct dental fillings are placed immediately into a prepared cavity in a single visit. These are the most common filling options for treating everyday cavities.
Examples of direct fillings include:
- White Composite Dental Fillings
- Silver Amalgam Dental Fillings
- Glass Ionomer Dental Fillings
Indirect fillings are created outside the mouth, usually in a dental laboratory. They are then bonded to the tooth during a second appointment.
Dentists choose indirect fillings for larger areas or when extra strength is needed.
Indirect filling examples include:
- Inlays
- Onlays
- Gold Dental Fillings
- Ceramic Dental Fillings
Fillers for Teeth: How Dentists Decide Which Option Works Best
Your dentist will consider several factors before recommending which dental filling treatment to use. The following factors often play a role in the choice of dental filling materials your dentist will recommend:
- Your cosmetic preferences
- The size of the cavity
- The location of the tooth
- Chewing force the tooth endures
For instance, small cavities in visible front teeth are often best treated with tooth-colored dental resin composites.
These work well for appearance. Depending on the tooth’s location, composite materials may be more prone to chipping or wear.
Also, larger areas of tooth decay in back molars may need a stronger solution such as an amalgam filling. Your dentist may choose that approach or even use indirect dental fillings like inlays and onlays.
Your dentist may also consider whether the filling is expected to serve as a final restoration or a temporary measure before more advanced work.
By reviewing your options together, you and your dentist can choose the type of filling that balances appearance, longevity, and cost.

Who May Be a Candidate for White Composite Fillings?
Patients with tooth decay or recurrent decay are often good candidates for tooth-colored composite resin. These fillings can be used to fill cavities or repair cracked enamel.
They may also act as the last restoration step when further decay is a risk.
People who want to avoid the appearance of dark-colored dental fillings when they smile or speak are also good candidates for white filling materials.
Dental Insurance for White Composite Fillings
Dental insurance coverage is another factor to consider. Many plans help pay for composite fillings.
However, some plans only pay for the cost of a silver filling on back teeth.
So, you may notice a small price difference if you choose white composite. We can help you sort that out before you decide. In these cases, you pay the difference if you choose a white filling instead.
Work closely with your dentist to review your plan. Your dentist can also submit a pre-authorization request to confirm coverage before treatment begins.
The White Composite Dental Filling Procedure
You can expect a fast, safe, and comfortable visit when you receive a white composite filling.
Here’s how the dental filling procedure works:
- Local Anesthesia – A local anesthetic such as Novocaine is used to numb the tooth and keep you comfortable during treatment.
- Sedation Dentistry Options – We want you to be at ease during your time in the dental chair. Dr. Salm offers nitrous oxide (laughing gas) as the primary option to help you stay calm.
- Decay Removal – Dr. Salm removes any decayed or damaged tooth material.
- Shade Matching – We match the composite resin to your exact tooth color for a seamless look.
- Application – The resin is applied in layers, shaped, and molded to match your tooth structure.
- Removing Excess – Your dentist will trim off excess material from the filler.
- Curing – A special light hardens the material within seconds.
- Polishing – We smooth and polish the filling so it blends in with the rest of your tooth.
Once placed, your filling will look and function just like the rest of your tooth.

White Dental Composite: A Modern Standard for Restorations
Dentists once thought of composite as a cosmetic option, but that has changed. Dentists now use composite as the standard material for many dental restorations.
Advances in Strength and Durability
In recent decades, advances in composite chemistry have improved their strength. Better bonding techniques also make them more resistant to wear.
For this reason, dentists trust them for both front teeth and posterior composite restorations that handle strong chewing forces.
Bonding and Tooth Preservation
Older fillings simply sat inside the cavity without bonding to the tooth. White composite fillings bond directly to the tooth structure. This bond reinforces the tooth and protects it.
Dentists can also use a tooth sparing preparation. That means more healthy enamel and dentin stay in place instead of being removed.
Versatility of Resin Composites
As mentioned, modern resin composites are quite versatile. Dentists use them to rebuild chipped edges. The material can also be layered for cosmetic reshaping.
In some cases, it works with indirect methods to restore large cavities.
Natural Appearance and Safety
Being tooth colored, composite blends in better than metal. Patients don’t face concerns about mercury exposure from older amalgam dental fillings.
The result is a polished, natural smile without the metallic shine of older options.
Dental Care For Tooth-Colored Fillings
To maintain composite resin fillings long-term, you should follow good oral hygiene practices. That includes visiting your dentist regularly for cleanings.
Routine dental checkups go a long way toward protecting oral health and keeping dental fillings in good condition.
At home, you can follow simple oral hygiene practices. These include brushing with a fluoride toothpaste and flossing each day.
With good home care and regular visits, your composite fillings can stay strong and look great for many years. They will continue to appear and function like your natural teeth.

Frequently Asked Questions About Dental Cavity Fillings
These common questions about dental cavity fillings and fillers for teeth can help you feel more prepared before your visit.
Also known as a dental crown, a dental cap covers the entire surface of a damaged tooth. Your dentist uses it when a tooth needs more support than a filling can give. The cap or crown restores function and keeps the tooth protected during everyday chewing.
Many patients prefer tooth-colored caps because they blend well with a natural smile.
A dental bridge replaces one or more missing teeth and restores proper function. Your dentist anchors the bridge to nearby teeth or implants so it stays secure while you chew and speak.
The custom design fills the open space and helps your bite feel balanced again. Many patients appreciate how quickly a bridge can improve both comfort and appearance.
You also prevent nearby teeth from drifting into the empty space, which often saves you from future dental problems. A well-made bridge can last for many years with simple home oral hygiene and routine checkups.
Most patients stay comfortable during the filling procedure because the tooth is fully numbed. You may feel slight pressure but not pain.
Afterward, mild sensitivity can appear for a short time, especially if the cavity was deep. Your dentist can recommend simple steps to keep the tooth comfortable as it settles.
If you have a cavity, you might feel a sharp twinge when eating something sweet or cold. A dull ache, lingering sensitivity, or a small dark spot on the tooth can also signal decay.
Cavities sometimes grow quietly with no obvious symptoms. Routine exams help catch them early before they turn into bigger problems.
Composite fillings often last several years with steady brushing, flossing, and routine cleanings. Many last much longer when the tooth isn’t under heavy pressure.
During routine visits, your dentist checks each filling for wear or small changes. You’ll get clear guidance when a replacement becomes helpful.
Costs vary based on the size of the cavity and the material your dentist uses.
Some insurance plans cover composite fillings, while others only cover the cost of a silver filling on back teeth. If that happens, you might pay the difference for the white filling at many practices.
Your dentist can provide an estimate and send a pre-authorization so you know your exact coverage.
Fillings protect your teeth from deeper decay. They save you from more complex treatment down the road.
When decay spreads, it can reach the nerve and lead to severe pain or a possible root canal. A filling stops the damage and restores strength so the tooth remains stable.
Many patients notice an immediate improvement in comfort, especially if the tooth had been sensitive for a while. Composite fillings also blend beautifully with your enamel, which helps you smile without worry.
The long-term peace of mind makes the treatment a smart choice for most people.
Satisfied Patient Reviews:
Ready To Restore Your Smile?
Don’t let metal fillings hold you back. Here’s why you should trust Dr. Salm and our caring team to restore your smile with strength, function, and natural beauty using white composite fillings.
Many people try to push through tooth pain or hope a small cavity will fade on its own. That choice often leads to deeper decay, more sensitivity, and trouble chewing. You deserve relief before problems grow worse.
White composite fillings offer a clean look and solid protection. The material blends with your teeth and supports weakened enamel. Importantly, it keeps future decay from spreading.
You stay comfortable and keep your confidence. You also sidestep the stress that comes with more major dental work.
Dr. Salm and our team at Smiles for Miles Dentistry walk you through each step so you feel informed and supported. You get clear guidance, a gentle approach, and a smile that looks like itself again.
📞 Call us at (262) 548-3555 or schedule your visit online. We’re here to help you smile with comfort and confidence.


